Accueil
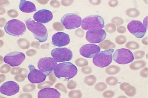
Frottis de moelle osseuse en cas de LAL