Accueil
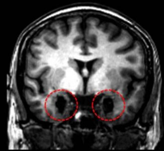
Patiente SM IRM Anatomique