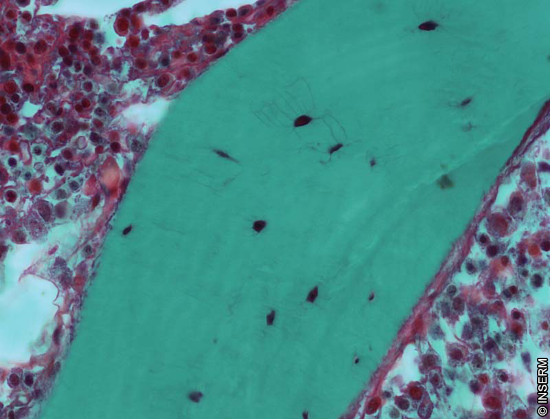
Ostéocytes sur une travée osseuse (échelle micrométrique)
Par rmonod
—
Dernière modification
24/03/2016 10:45
Jean-Paul Roux, INSERM U831:
Ostéocytes au cœur d’une travée osseuse et leurs canalicules. Ces cellules seraient sensibles aux pressions mécaniques et joueraient le rôle d’ostéosenseurs.
Microscopie optique, coupe histologique non décalcifiée de 8 µm d’épaisseur réalisée à partir d'une biopsie osseuse réalisée in vivo avec un trocart de 7.5mm de diamètre interne et traversant l’os du bassin au niveau de la crête iliaque.
Travée osseuse en vert, ostéocytes au cœur de la travée avec leurs canalicules, cellules de la moelle osseuse autour de la travée (os minéralisé en vert, cytoplasme en rouge, noyau en gris-brun).
Hauteur image : 200µm, épaisseur travée (en vert) : 160µm, Ostéocyte (cellules rouges à l’intérieure de la travée) : 5µm...
COMPLÉMENTS:
Les ostéoblastes sont les cellules sécrétrices des constituants organiques de la matrice extracellulaire qui les entoure progressivement; ils se transforment alors en ostéocytes, enfermés dans le tissu osseux; les ostéocytes mesurent 5µm et possèdent de nombreux et fins prolongements cytoplasmiques, ils interviennent dans les échanges et la transmission de messages mécanosensoriels.
De part et d'autre de la travée, les cellules de la moelle osseuse sont à l'origine des cellules sanguines.
Image dans sa taille originale : 229 ko |
