Mémoire
Mémorisation ou Mémoires et cerveau
Bibliographie:
http://lyon-sud.univ-lyon1.fr/P2/Physio-LK/Memoire.pdf
The World Brain Atlas
The Navigable Atlas of the Human Brain

Mémoire sensorielle
Il s'agit de la trace neuronale d'une perception sensoriel. Les deux sens principaux sont l'audition et la vision
Cette mémoire permet une mise en attention.
Le transfert des informations vers la mémoire à court terme se fait essentiellement de manière verbale.
L'oubli se fait par une élimination passive, ou activement par la survenue de nouvelles stimulations.
The World Brain Atlas
The Navigable Atlas of the Human Brain
|
coupes transversales cortex sensoriels primaires |
vue transaxiale
|
vue sagittale | vue coronale |
|
Occipital et
Vision |
![]() |
![]() |
![]() |
|
Temporal et Audition
|
![]() |
![]() |
![]() |
Mémoire à court terme
La mémoire à court terme ou la mémoire immédiate ou la mémoire primaire permet la reproduction immédiate d'une information.
Son souvenir perdure pendant quelques 90 s et ne concerne que quelques données (pas plus de 7+/- 2 items).
Un test consiste à répéter à l'endroit des séries croissantes de chiffres ou à répéter un toucher de blocs...
Une partie de la Mémoire à Court Terme correspond à la mémoire de travail.
La mémoire de travail permet de réaliser des manipulations cognitives sur des informations maintenues temporairement. C'est un système de mémoire transitoire impliquant simultanément les opérations de stockage et les opérations de traitement : garder présentes à l'esprit les informations nécessaires pour raisonner, comprendre une phrase ou la construire, calculer de tête. Cette mémoire est de courte durée. L'information est simplement maintenue quelques secondes pour permettre la manipulation des données nécessaires à la réalisation de la tâche en cours.
Un test consiste à répéter à l'envers une série de nombres...
Mémoire à long terme
Mémoire explicite
Le modèle de Squire distingue
la mémoire déclarative ou explicite
de la mémoire non déclarative ou implicite
Le rappel explicite et conscient d'informations peut être exprimé par le langage : le savoir quoi.
Dans la mémoire épisodique, le "quoi" est relié à "où" et à "quand" : c'est le système de l'autobiographie et des événements personnels.
" J'ai pris le train pour Lyon vendredi soir à 22h au départ de
Paris "
Dans la mémoire sémantique, mots, idées composent le souvenir
" Pour aller à Lyon je peux prendre le train ou l'avion,
ça dépend..."
la charge émotionnelle du fait renforce le souvenir.
"Ces Journées m'ont laissé un drôle de souvenir!"
le système limbique réalise l'interconnection avec les néocortex sensoriel et frontal
Le système limbique est donc l'étape obligatoire pour une mise en mémoire à long terme.
Ce tranfert est assuré par le système limbique pour la mémoire explicite, le cervelet et les ganglions de la base pour la mémoire implicite (ou procédurale)
Les messages sensoriels provenant des aires corticales, puis intégrés par le cortex associatif, sont pris en charge par le système limbique. En effet les informations sensorielles convergent sur les régions temporales internes (cortex périrhinal et entorhinal, cortex parahippocampique, formation hippocampique) qui exercent une action en retour sur l'ensemble des aires corticales sensorielles. Les efférences de l'hippocampe projettent par le fornix sur le septum et les corps mamillaires. Ces derniers projettent par le faisceau mamillothalamique de Vicq d'Azyr sur les noyaux antérieurs du thalamus à partir desquels le circuit se poursuit de manière rayonnante sur le gyrus cingulaire d'où partent des voies sur l'ensemble du néocortex (en particulier les régions préfrontales) et une voie de retour sur la circonvolution parahippocampique au moyen du cingulum.
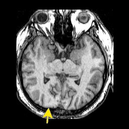
| Amygdale | ![]() |
![]() |
![]() |
Bibliographie
Articles en ligne
Memoire et cognition; la mémoire de travail, les mémoires à court et long terme
Dans "le traitement des signaux provenant du monde", sur le site de l'ESA
Dans Les transversales du CNRS: mémoires
- La notion de mémoires
Article d'Alain Prochiantz, directeur de recherche au CNRS, laboraotire Développement et évolution du système nerveux.
- La mémoire, mécanismes cellulaires et moléculaires
Article de Serge Laroche, Directeur de recherche au cNRS, Laboratoire Neurobiologie de l'apprentissage, de la mémoire et de la communication.
Articles proposés par le professeur Serge Laroche
Directeur du laboratoire "Neurobiologie de l'apprentissage, de la mémoire et de la communication (CNRS UMR 8620- Université Paris Sud)
Article de Serge Laroche paru dans Pour La science , présente les cicuits de la mémoire et les mécanismes cellulaires et moléculaires impliqués
Cellular and Molecular Approaches to Memory Storage
Article de Serge Laroche, paru dans Therapie, présentant les connaissances acquises sur la potentialisation à long terme, le rôle de la plasticité synaptique et des mécanismes moléculaires dans la formation des souvenirs
Article auquel a participé Serge Laroche, publié dans Nature Neurosciences, présente spécifiquement l'implication d'un gène précoce lors de la potentialisation à long terme ( mémoire à long terme) , travaux sur des souris KO pour ce gène.
Article auquel a participé Serge Laroche, publié dans Current Molecular Medicine, présente les mécanismes cellulaires et moléculaires mis en jeu dans la formation du souvenir et leurs implications stratégiques dans deux types de maladies: Alzheimer et myopathie de Duchenne, travail sur des modéles animaux de vieillissement et myopathie.
Fiche de lecture
Développement cognitif et troubles des apprentissages : évaluer, comprendre, rééduquer et prendre en charge
Sous la direction de Marie Noëlle metz-Luzt et al., collection Neupsychologie, édition SOLAL.
Cet ouvrage présente sous forme de publications, des synthèses des recherches fondamentales et cliniques sur le développement cognitif et les apprentissages.
Dans une première partie, les auteurs présentent les outils nécessaires à l’apprentissage : l’attention, la mémoire de travail et les fonctions exécutives. Dans une deuxième partie, les auteurs présentent toujours sous forme de publications, le développement du langage oral et l’apprentissage du langage écrit.
Dans ces deux parties, les auteurs décrivent les structures nerveuses impliqués dans l’apprentissage de même que les modifications de ces structures survenant dans certains troubles comme la dyslexie. Cet ouvrage présente également les différents tests de dépistage des dyslexies ainsi que l’intérêt d’une prise en charge précoce chez l’enfant dès l’âge de 5-6 ans.
Le développement de l’enfant
Liliane Maury, édition Presse Universitaires de France, « Que sais-je ? », N° 2574, 1991.
Dans cet ouvrage, des psychologues, des philosophes et des physiologistes présentent leur conception du développement de l’enfant depuis le XVIIIe siècle jusqu’à nos jours. Il est question également des relations entre le développement de l’enfant et le langage.
La maladie d’Alzheimer : mémoire et vieillissement
Denis Brouillet et Arielle Syssau, édition Presse Universitaires de France, « Que sais-je ? », N° 3227, 1997.
Les auteurs nous présentent dans cet ouvrage tout d’abord les processus de la mémoire et son évaluation. La deuxième partie est consacrée aux troubles de la mémoire au cours du vieillissement normal et de la démence de type Alzheimer. La troisième partie enfin, nous fait part des capacités épargnées par le vieillissement normal et la démence de type Alzheimer qui sont justement peu prises en compte par les chercheurs et qui pourtant éclaireraient les personnes vivant au quotidien auprès de la personne âgée.





















