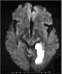
IRM accident ischémique cérébral postérieur droit
Par jauzein
—
Dernière modification
27/10/2015 13:53
L'IRM montre une lésion du territoire profond de la région postérieure droite de l'encéphale.
Cette lésion est ici consécutive à une ischémie, c'est à dire une diminution ou une interruption de la circulation artérielle dans ce territoire. L'ischémie entraîne un défaut d'apport en oxygène aux neurones, d'où la nécrose (mort) des tissus concernés.
Image dans sa taille originale : 8 ko |
