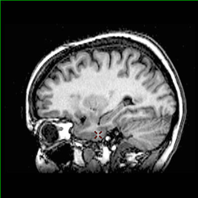
Localisation du gyrus fusiforme
Par jauzein
—
Dernière modification
27/10/2015 13:53
L'image IRM en coupe permet de localiser le gyrus fusiforme dont la lésion est mise en cause dans la prosopagnosie.
Image dans sa taille originale : 25 ko |
