3. Généralités concernant l'anatomie cérébrale
Sujet 1211
-
Origine des images
Rorden Chris, Associate Professor, University of South Carolina, Columbia SC 29208, USA Visiting Professor, Medical University of South Carolina, Charleston SC 29425, USA.
http://www.sph.sc.edu/comd/rorden/
-
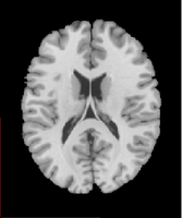
Exploitation pédagogique de l’anatomie cérébrale du Sujet 1211
Les images IRMsujet1211anat avec et Sans Scalp sont issues des images d’IRM anatomique. Pour le même sujet, on peut visualiser l’image anatomique correspond au cerveau avec l’enveloppe crânienne ou, si on lui applique un traitement qui utilise un masque, au cerveau seul (Sans scalp)
Ces images anatomiques de bonne qualité permettent de se localiser dans les différents plans de coupe et de repérer les grandes régions cérébrales (lobe occipital, temporal, frontal; pariétal) ainsi que les principales structures cérébrales (Hémisphères, cervelet, cortex cérébral, substance grise, substance blanche, corps calleux, hippocampe…). L’image sans scalp propose un rendu de surface des hémisphères cérébraux et permet de repérer les grandes circonvolutions.
L’Image IRMsujet1211anatBrodmann permet de localiser dans les différents plans de coupe les territoires cytoarchitectoniques définis par Brodmann en fonction de leur organisation cellulaire propre. Elle correspond à des zones d'intérêt, colorées et est superposable aux images anatomiques du sujet 1211 avec ou sans scalp.
| Image anatomique sans scalp, coupe axiale | Image anatomique avec scalp, coupe axiale. Un calque colorisé montrant les aires de Brodmann est superposé à l'image. |
Sujet 1212
-
Origine des images
Rivière Denis, Commissariat à l'Energie Atomique / Service Hospitalier Frédérique Joliot - 4 Place Général Leclerc - 91401 Orsay.
Laboratoire de Neuroimagerie Neurospin, CEA Saclay Bât 145, 91 191 Gif-sur-Yvette cedex, France.
http://brainvisa.info/doc/brainvisa/fr/processes/aboutAnatomist.html
http://www-dsv.cea.fr/neurospin/
-
Exploitation pédagogique de l’anatomie cérébrale du Sujet 1212
Il s’agit des différentes images construites à partir de l’anatomie du sujet 1212. Elles peuvent être superposées à l’image anatomique. Elles permettent de visualiser les deux hémisphères (avec une distinction substance blanche / grise) indépendamment ainsi qu’une segmentation hémisphère / cervelet / tronc.
Les images de volume proposent un rendu en trois dimensions des deux hémisphères indépendamment et avec distinction de la substance blanche.
| Image anatomique, coupe axiale. Superposition d'un calque colorisé montrant la répartition de la substance blanche et grise dans l'hémisphère droit. | Image anatomique, coupe axiale. Superposition d'un maillage 3D de la tête et rotation dans l'espace. | Image anatomique, coupe coronale. Superposition d'un maillage 3D de chaque hémisphère et rotation dans l'espace. |
Liste des images du sujet 1212 qui peuvent être superposées sur l’image IRMsujet1212anat
- images de l'encéphale :
IRMsujet1212anatEncephale.ima
IRMsujet1212anatSegmentationHemisphereCerveletTronc.ima
- images de la substance blanche et de la substance grise pour chaque hémisphère :
IRMsujet1212anatHemisphereDroitSubstanceBlancheGrise.ima
IRMsujet1212anatHemisphereGauchetSubstanceBlancheGrise.ima
- images de volume (maillage 3D) des hémisphères droit et gauche avec ou sans substance grise :
IRMsujet1212anat3DHemisphereDroit.mesh
IRMsujet1212anat3DHemisphereDroitSubstanceBlanche.mesh
IRMsujet1212anat3DHemisphereGauche.mesh
IRMsujet1212anat3DHemisphereGaucheSubstanceBlanche.mesh
- image de volume de la tête
IRMsujet1212anat3DTete.mesh
- Caractéristiques techniques : Imageur Sigma GE 1.5T ou Brucker 3T.
