acteurs de la réponse immunitaire
|
|
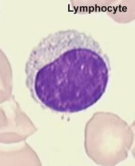
Dans les ganglions lymphatiques se trouvent réunis dans un microenvironnement, les différents acteurs des réponses immunitaires. C'est au sein de cet espace ganglionnaire que va s'initier la réponse immunitaire acquise au cours d'une action synergique des leucocytes.
|
|||||||




