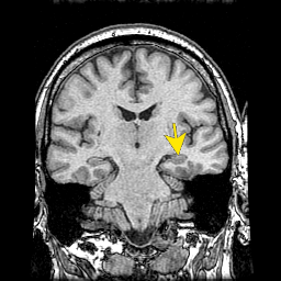
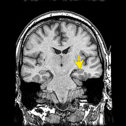
Hippocampe
Par jean
—
Dernière modification
11/02/2016 12:32
Memorisation. image: The Whole Brain Atlas
Image dans sa taille originale : 31 ko |
