La femme sans peur atteinte de la maladie d'Urbach-Wiethe
Auteur S.Beaudin
I- Le contexte pédagogique
- Le programme en vigueur à partir de la rentrée 2020
- Les prérequis et place de l'activité dans la progression pédagogique
- Les objectifs méthodologiques
II- Ressources mises à disposition des élèves et des enseignants
- Précautions à prendre pour renommer les images
- Ressources enseignant et élève
III- Propositions de démarches et productions attendues
IV- Bibliographie
I - Le contexte pédagogique
Les notions de stress , au sens physiologique du terme, et "d'agent stresseur" ayant été posées préalablement, il s'agit de déterminer comment se réalise la détection des agents stresseurs par l'organisme, à travers l'analyse d'un cas clinique sur la femme sans peur et de données récentes sur l'activation de l'amygdale suite à un stimulus émotionnel positif (en l’occurrence ici une musique joyeuse).
1. Le programme de Terminale Specialite en vigueur depuis 2020
Thème III : Corps humain et santé (Bulletin officiel spécial n°8 du 25/07/2019 - Arrêté du 19-7-2019 - J.O. du 23-7-2019 (NOR : MENE1921252A))
Partie : Comportements et stress : vers une vision intégrée de l’organisme
L’adaptabilité de l’organisme
|
Connaissances |
Capacités et attitudes |
|---|---|
|
Face aux perturbations de son environnement, l’être humain dispose de réponses adaptatives impliquant le système nerveux et lui permettant de produire des comportements appropriés. Le stress aigu désigne ces réponses face aux agents stresseurs. Notions fondamentales : stress aigu, agents stresseurs, ... système limbique (amygdale, hippocampe), ... |
Interpréter des données d’imagerie médicale et/ou d’électrophysiologie sur l’activité neuronale de certaines zones cérébrales en réponse à des agents stresseurs.
|
Commentaires :
L'activité pédagogique proposée ci-après permet de répondre aux différents objectifs méthodologiques fixés par le programme de terminale spécialité, puisqu'elle permet à la fois :
- à l'aide du logiciel EduAnat2 de comparer des IRM cérébrales de sujets sains et pathologiques, et de superposer des calques fonctionnels (IRMf) à des images anatomiques afin d'identifier les structures cérébrales impliquées dans la perception du stress. L'équipe ACCES n'a pas été en mesure de récuperer le fichier IRM de Mme SM présentée dans la publication de référence car trop ancienne (description du cas clinique pour la première fois en 1994 dans la revue Nature). La patiente SM-046 est une femme américaine qui présente des lésions bilatérales des amygdales presque complètes et surtout qui ne ressent pas la peur. Elle souffre d'une maladie génétique rare, autosomique récessive, la maladie d'Urbach-Wiethe, qui a entraîné une calcification bilatérale et une atrophie de ses amygdales (Tranel et Hyman, 1990 ; Nahm et al., 1993 ; Adolphs et al., 1994). Une image au format .jpg est donc à disposition pour la comparaison mais ne permettra malheureusement pas une exploration en 3D.
- de travailler à partir de données expérimentales issues du milieu médical et de la recherche.
2. Les prérequis et place de l'activité dans la progression pédagogique
Même s'il ne constitue pas un objectif de formation mentionné dans les programmes, le principe de construction d'une IRM anatomique et fonctionnelle ont été préalablement abordés, (télécharger l'exercice) afin que le travail sur les IRM anatomiques, images construites, et l'exploitation des calques fonctionnels ne constitue pas un obstacle aux apprentissages.
3. Les objectifs méthodologiques de cette séquence
Conformément aux programmes (Bulletin officiel spécial n°8 du 25/07/2019), au cours de cette séance, l'élève met en apprentissage les capacités et attitudes suivantes:
- Pratiquer une démarche scientifique (observer, questionner, formuler une hypothèse)
- Recenser, extraire et organiser des informations
- Exprimer et exploiter des résultats
- Percevoir le lien entre sciences et techniques
- Être capable d'attitude critique face aux ressources documentaires
- Communiquer dans un langage (graphique, numérique) scientifiquement approprié
Cette séquence pédagogique s'inscrit également dans le cadre de référence des compétences numériques qui est entré en vigueur à la rentrée 2019 en lycée. (Plan numérique pour l'éducation lancé en mai 2015).
II - Ressources mises à disposition des élèves et des enseignants
La proposition de séquence pédagogique, présentée dans cet article, nécessite la manipulation d'images indexées dans la banque NeurPéda, qui de prime abord présentent une architecture et une dénomination des fichiers complexes. Certains enseignants rencontrés en formation nous ont fait remonter leurs difficultés et réticences à utiliser ces données au regard de la complexité du nom des fichiers qui peut constituer un obstacle pour les élèves. Il s'agit en fait d'un faux problème !
Il ne faut en aucun cas perdre de vue que la complexité de la dénomination des fichiers n'est en fait que le résultat d'une indexation selon une classification interne à l'équipe ACCES qui répond à des critères spécifiques. Il faut garder à l'esprit qu'en aucun cas le nom des fichiers ne doit constituer un obstacle à la compréhension pour les élèves, et que la connaissance de l'architecture de la banque Anapéda ne constitue ni un objectif de formation cognitif, ni un objectif de formation méthodologique.
Il est tout à fait possible et même souhaitable de renommer simplement ces images, afin de simplifier le travail de l'élève, en prenant soin toutefois de respecter certaines précautions quand aux noms des fichiers informatiques, et en accompagnant ce travail d'un document explicatif à destination des élèves, faisant mention d'une brève description de l'image, des seuils, et/ou du protocole d'acquisition très simplifié.
La procédure à suivre pour renommer les fichiers de la banque NeuroPéda est décrite dans un article consultable sur le site ACCES.
La correspondance entre les images de la banque NeuroPéda, utilisée pour la conception de cette séquence pédagogique, et leur nouvelle dénomination est indiquée dans le tableau ci-dessous :
Titre : Tableau synoptique sur l'origine des images, leur dénomination dans la séquence pédagogique, les seuils et leur paradigme de construction :
| Images de la banque NeuroPéda utilisées | Nom des images renommées | Seuil | Contenu de l'image |
|
IRMsujet13112.anat.nii.gz IRMsujet13112.stl |
Sujet Sain E Cerveau .anat.nii.gz Sujet Sain E Cerveau .stl |
- - |
IRM anatomique cérébrale d'un individu sain Image acquise avec une bonne résolution
|
|
IRMsujet13142.anat.nii.gz IRMsujet13142.stl |
Cerveau Moyen Sain.anat.nii.gz Cerveau Moyen Sain.stl |
- |
IRM anatomique cérébrale saine Il s'agit d'un cerveau moyen normalisé à partir de 18 sujets (résolution très moyenne de l'image) |
|
IRMsujet13142MusiqueJoyeuseVsTerrifiante.fonc.nii.gz (image déjà seuillée par les chercheurs) |
Cerveau Moyen Sain Musique joyeuse Vs Terrifiante.fonc.nii.gz | 0 |
IRM fonctionnelle
On compare l'activité cérébrale de 18 individus qui écoutent une musique joyeuse par rapport à l'activité cérébrale des 18 même individus qui écoutent une musique terrifiante et on mentionne sur le calque fonctionnel les zones significativement les plus activées
|
|
IRMsujet13142MusiqueVsSilence.fonc.nii.gz (image déjà seuillée par les chercheurs) |
Cerveau Moyen Sain Musique Vs Silence.fonc.nii.gz | 0 |
IRM fonctionnelle
On compare l'activité cérébrale de 18 individus qui écoutent de la musique par rapport à l'activité cérébrale des 18 même individus qui sont soumis au silence et on mentionne sur le calque fonctionnel les zones significativement les plus activées
|
|
Fichier .jpg |
Patiente SM IRM Anatomique.jpg |
- | Nous ne disposons pas de l'IRM à explorer mais seulement d'une photo de l'IRM pas de possibilité d'explorer en 3D le cerveau de la patiente |
Il a été décidé de faire travailler les élèves avec le calque fonctionnel “IRMsujet13142MusiqueJoyeuseVsTerrifiante” car la publication de référence indique que c’est la situation qui montre le mieux l’activation de l’amygdale superficielle. Cet IRMf met en évidence les zones davantage activées lors de l’écoute d’une musique joyeuse par rapport à une musique terrifiante.
Il est également intéressant au cours de cette séquence pédagogique de sensibiliser les élèves à la nécessité de superposer un calque fonctionnel sur l'image anatomique du même individu, dans le cas contraire, l'IRMf peut ne pas superposer parfaitement à l'IRM anatomique, ce qui se traduit par des "taches colorées" en dehors du cerveau.
|
Logiciel, Images et Tutoriels |
Documents élèves |
|---|---|
|
- L'exercice sur le principe de construction d'un calque fonctionnel (IRMf) en amont de la séance - La fiche de TP contenant les documents de référence et les ressources complémentaires |
III- Propositions de démarches et productions attendues
-
Déroulement(s) possible(s) de la séquence, en fonction du niveau de la classe, et productions attendues
La séquence pédagogique présentée ci-après correspond à une séance de TP d'une durée de deux heures qui se déroule de la manière suivante :
- Partie 1 du TP : Mise en place de la situation problème (travail collectif) et travail évalué sur la conception du protocole expérimental (travail individuel)
On attend des élèves qu'ils rédigent une production sous la forme d'un document numérique et d'une restitution orale qui peut être évaluée en fin de séance.
-
Propositions d'évaluations
- La conception de la stratégie de résolution du problème
- La présentation des résultats et leur interprétation
-
Déroulement de la séquence pédagogique
Premier temps : Mise en place de la situation problème (Phase orale collective) et protocole expérimental (Phase écrite indiviuelle)

La lecture du document d'appel, permet d'établir le problème à résoudre :
Comment expliquer la non détection des dangers (= agents stresseurs) par Mme SM à l'origine de l'absence de sensation de peur responsable de ces actes héroïques?
Le texte permet également de faire émerger l'hypothèse d'un dysfonctionnement cérébral à l'origine de l'absence de sensation de peur, et il va falloir le vérifier.
| Étape 1 : Concevoir une stratégie pour résoudre une situation problème |
|---|
|
Evaluation écrite individuelle et/ ou orale d'un élève possible.
Consigne : Concevoir un protocole expérimental réaliste permettant d'identifier la/les structure(s) cérébrale(s) impliquée(s) dans la détection des agents stresseurs. Ce travail s'effectue uniquement avec le document 1 afin que le travail soit le plus simple possible pour l'élève. - ce qu'il cherche
- ce qu'il fait - comment il le fait - ce qu'il attend On attend ici une démarche et non pas une recette exacte.
![]() Exemples de productions possibles
On sait que le cerveau est l'organe impliqué dans la phase de détection du stress, et donc pour l'explorer de manière non invasive, on va réaliser des IRM et IRMf. Etape 1 : Comparaison de l'IRM anatomique cérébrale d'un individu sain et de celle de Mme SM. Résultats attendus : On s'attend à trouver une lésion cérébrale chez Mme SM Or le texte nous apprends que la peur est une émotion qui nait en conséquence de la détection et de l'analyse du danger par l'organisme. C'est donc une réponse à un agent stresseur. On peut donc émettre l'hypothèse que si l'on trouve une zone lésée chez Mme SM, cette dernière intervient dans la détection du danger mais encore faut-il en apporter la preuve. Etape 2 : Réalisation d'une IRMf chez un individu sain afin de déterminer la ou les aires cérébrales impliquées dans la détection de l'agent stresseur. Pour cela on réalise un enregistrement en condition de stimulation (présence d'un agent stresseur) et de non stimulation (absence d'un agent stresseur) ce qui permet de visualiser les zones significativement les plus actives donc impliquées dans la fonction étudiée. On superpose cette IRMf à une image anatomique du même sujet. Résultats attendus : On va mettre en évidence la ou les aires cérébrales impliquée(s) dans la détection des agents stresseurs Etape 3 : Comparaison de l'IRM anatomique de Madame SM avec l'IRMf Résultats attendus : On s'attend que la ou les aires cérébrales impliquée(s) dans la détection des stimuli stresseurs chez un individu sain soit localisée(s) au même endroit que la ou les lésion(s) de Madame SM.
La banque Neuropéda ne dispose pas d'IRMf montrant l'activation de l'amygdale suite à un agent stresseur effrayant, au sens le plus courrament évoqué par les élèves à savoir un stimulus visuel. En revanche, elle contient une IRMf permettant de mettre en évidence l'activation de l’amygdale suite à une stimulation joyeuse "IRMsujet13142MusiqueJoyeuseVsTerrifiante”. Un fossé très important pour des élèves de terminale en terme de compréhension me direz-vous ! Dans la mesure ou la situation déclanchante de la femme sans peur est liée à l'absence de détection des agents stresseurs, il parrait opportun de faire réfléchir les élèves sur le protocole expérimental sans leur donner les images de la banque à disposition et leur protocole d'acquisition (doc 2 et 3). Ce n'est que dans un deuxième temps, après la phase de reflexion individuelle sur la conception d'un protocole expériental simple,que l'enseignant pourra reprendre la main et préciser que : - la littérature scientifique mentionne que l'amygdale, bien qu'activée en condition émotionelle stressante, l'est également encore plus en cas de situation émotionnelle positive comme la joie. - Stefan Koelsch nous a gracieusement donné les images de son étude "The Roles of Superficial Amygdala and Auditory Cortex in Music-Evoked Fear and Joy" dont nous allons présenter le protocole d'acquisition et les conlusions. Les résulats de l'étude indiquent que les auteurs ont enregistré de manière bilatérale dans le cortex auditif et dans l'amygdale superficielle : - une augmentation du signal BOLD lors de l'écoute d'une musique joyeuse par rapport à une musique neutre
- une diminution du signal BOLD lors de l'écoute d'une musique terrifiante par rapport à une musique neutre
Les auteurs concluent que le cortex auditif fonctionne comme une plaque tournante centrale d'un réseau affectif-attentionnel. On pourra également former à l'esprit critique en se demandant par exemple dans quelle mesure les résultats auxquels les chercheurs ont abouti peuvent apporter leurs contributions au domaine scientifique? (étude sur 1 ou plusieurs sujets? Etude testée par d'autres laboratoires? avec quels résultats?...) . |
Deuxième temps : Partie manipulatoire et interprétation des résultats
| Étape 2 : Mettre en œuvre le protocole de résolution pour obtenir des résultats exploitables |
|---|
|
Quelques aides majeures - Ouverture des fichiers à la place de l’élève (bouton "ouvrir une image") - En revanche, aider l'élève à suivre le chemin d'accès menant à l'image ne constitue pas une aide majeure - Réglage du contraste, de la luminosité et des seuils à la place de l’élève - Superposition de l’image fonctionnelle sur l’image anatomique du meme sujet à la place de l’élève - Utiliser la fonction comparaison du logiciel - Recherche des zones incriminées à la place de l’élève |
| Étape 3 : Présenter les résultats pour les communiquer |
|---|
|
- qu'il ait correctement identifié les aires cérébrale lésées chez la patiente SM et qu'ils les identifies comme étant les amygdales à l'aide des documents complémentaires (lésin bilatérale des amygdales)
- qu'il identifie les aires auditives
- qu'il compare un sujet sain et madame SM lors de l'écoute d'une musique joyeuse afin de montrer le rôle des amygdales dans la perception des émotions
Si aucun résultat n’est obtenu, malgré les aides apportées, fournir un document de secours pour permettre à l'élève de répondre au problème posé. Il peut être intéressant de fournir le document numérique pour permettre au candidat de modifier la mise en page, et réaliser des annotations.
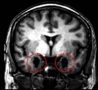
Etape 1 : Comparaison de l'IRM anatomique cérébrale de la femme sans peur avec une IRM saine afin de mettre en évidence une éventuelle lésion
Les cercles rouges localisent les amygdales (zone de substance grise) chez un sujet sain. Chez la patiente SM (cercles en pointillés rouges), les amygdales sont lésées de façon bilatérale.
- Pour réaliser la comparaison rendu délicate par l'impossibilité d'explorer le cerveau de Mme SM et la présence d'un seul plan de coupe, les structures anatomiques indiquées en vert doivent servir de point de référence pour obtenir avec EduAnat2 un plan de coupe similaire à celui de la photo. - les 2 ventricules latéraux (VL) - le troisième ventricule (V3) - le noyau caudé (NC) correspondant à de la substance grise - Travail dans le plan coronal uniquement avec EduAnat2 car nous ne disposons pas de l'image IRM de la patiente SM, mais seulement d'une image dans le plan coronal.
Etape 2 : Réalisation d'une IRMf chez un individu sain afin de déterminer la ou les aires cérébrales impliquées dans la détection de l'agent stresseur.
Titre : IRMf "Cerveau Moyen Sain Musique Joyeuse Vs Terrifiante "
La construction d’une image anatomique moyenne se traduit par une diminution de la résolution spatiale par rapport aux images individuelles, d'ou la piètre netteté de l'image anatomique.
Reste donc à déterminer à quoi correspondent ces aides cérébrales activées visualisées avec le logiciel. Plusieurs stratégies permettent d'identifier les aires auditives et les amygdales. Le travail sur les documents 1 des "ressources complémentaires" permet d'identifier l'amygdale.
Une difficulté pédagogique majeure réside dans la comparaison d'un plan de coupe en IRM avec un schéma (dont un modèle) en 3D tout aussi bien fait qu'il soit. Il est donc recommandé de légender directement les structures sur les IRM et d'utiliser des structures anatomiques cérébrales comme point de repère. Un très bon modèle 3D disponible sur Wikipédia peut également etre utilisé
Reste ensuite à identifier les aires auditives :
Titre : IRMf "Cerveau Moyen Sain Musique Joyeuse Vs Terrifiante " (Gauche) comparé à Cerveau IRMf "Moyen Sain Musique Vs Silence" Rouge = amygdales Bleu = aires auditives
Etape 3 : Comparaison de l'IRM anatomique de Madame SM avec l'IRMf
|
|
Étape 4 : Exploiter les résultats obtenus pour répondre au problème posé |
|---|
|
Consigne : A partir des résultats obtenus, déterminer d'identifier la/les structure(s) cérébrale(s) impliquée(s) dans la détection des agents stresseur .(Utiliser éventuellement les documents complémentaires sur l'anatomie du cerveau). Pour avoir une réponse complète, il est impératif de faire le lien avec vos connaissances du cours et de ne pas oublier de répondre au problème posé en introduction ! On attend du candidat qu'il :
- exploite l'ensemble des résultats = je constate que
- intègre des notions (issues des ressources, de la mise en situation ou d'un apport du candidat) = or je sais que
- construise une réponse au problème posé explicative et cohérente intégrant les résultats = donc je conclus que
Chez la femme sans peur, on constate une lésion bilatérale d'une aire cérébrale que l'on identifie, par comparaison avec les documents ressources, comme étant les amygdales. Or chez les individus sains, cette zone correspondant aux amygdales (lésée chez Mme SM) est fortement activée dans la détection des émotions, en particulier lors de l'écoute d'une musique joyeuse. Le document ressource Doc 2 nous apprend que de nombreuses études montrent que les stimuli stressants activent l'amygdale, mais que les stimuli dotés d’une connotation émotionnelle positive stimulent davantage les amygdales par rapport à un stimulus stressant. On peut donc en conclure que la lésion bilatérale des amygdales sur l’IRM anatomique de la patiente SM, explique l’absence l'absence de perception des agents stresseurs chez Mme SM. Ainsi chez Mme SM les amygadales lésées ne peuvent pas assurer leur rôle de perception et de centre intégrateur et des émotions, comme le stress ou la peur, ce qui explique l'absence de perception du danger et les comportements héroîques dont madame SM fait preuve au quotidien. |
Remarque :
Les lésion bilatérales des amygdales sont des anomalies rares qui peuvent avoir différentes origines possibles :
- origine chirurgicale, après une lobectomie temporale bilatérale
- origine postencéphalitique (virus herpès)
- origine vasculaire, après un AVC
- origine atrophique du cortex cérébral
- origine tumorale
….
Le syndrome de Klüver Bucy, causé par des lésions bilatérales du lobe temporal, de l'hippocampe et l'amygdale aurait pu constituer une autre approche introductive interessante.
Bibliographie
Liste des principaux ouvrages et sites internet consultés et utilisés pour la réalisation de ce dossier.
Les ouvrages
- Ouvrages universitaires
- Elaine N. Marieb. "Anatomie et physiologie humaines". Pearson Education, 9e édition décembre 2014 , Collection : Classroom In The Book. 1300 p. ISBN 2761369327
- Lauralee Sherwood. "Physiologie humaine". De Boeck Superieur, juin 2015, Collection : Sciences Medicales. 674 p. ISBN 2804189961
Ressources multimédia
- Textes institutionnels
-
Sites internet (consultés en juin 2020)
https://www.edimark.fr/Front/frontpost/getfiles/22865.pdf
Atlas D’anatomie en ligne avec des IRM à légender
http://www.med.univ-rennes1.fr/cerf/edicerf/RADIOANATOMIE/001.html
Articles
Adolphs, R., Tranel, D., Damasio, H. et al. Impaired recognition of emotion in facial expressions following bilateral damage to the human amygdala. Nature 372, 669–672 (1994). https://doi-org.proxy.insermbiblio.inist.fr/10.1038/372669a0
R Adolphs, D Tranel, H Damasio and AR Damasio, Fear and the human amygdala, Journal of Neuroscience 1 September 1995, 15 (9) 5879-5891; DOI: https://doi.org/10.1523/JNEUROSCI.15-09-05879.1995
Stefan Koelsch et Stavros Skouras, The Roles of Superficial Amygdala and Auditory Cortex in Music-Evoked Fear and Joy, in Neuroimage, 2013 - Les stimuli auditifs utilisés par le chercheur peuvent être téléchargés, afin de les faire écouter aux élèves, sur la page des auteurs.
S. Cantin, C. Mendoza, S. Grand, P. Bessou, V. Lefournier, O. Eker, F. Tahon, F. Bing, V. Cuvinciuc, Z. Jiang, J.-F. Le Bas, A. Krainik,
Imagerie par résonance magnétique cranioencéphalique normale : étude en coupes frontales, sagittales et axiales, Feuillets de Radiologie, Volume 54, Issue 3, 2014, Pages 147-167,
ISSN 0181-9801, https://doi.org/10.1016/j.frad.2014.04.010.
Document mis à disposition selon les termes de la
Licence Creative Commons Attribution - Pas d’Utilisation Commerciale - Partage dans les mêmes conditions 4.0 International


Nous ne disposons pas de l'IRM à explorer mais seulement d'une photo de l'IRM
pas de possibilité d'explorer en 3D le cerveau de la patiente




- soit on travaille sur les schémas du document 2 des "ressources complémentaires" montrant les aires auditives, avec l'obstacle pédagogique majeur de comparer puis transposer les données d'un schéma sur une IRM

