production des anticorps
|
|
Le logiciel eBIODYN permet de modéliser le comportement des acteurs de la réponse immunitaire. A partir des informations sur la structure des ganglions lymphatiques et des acteurs de la réponse immunitaire, l'élève place les acteurs de la réponse immunitaire (macrophages, lymphocytes B et lymphocytes T) puis lance les simulations.(télécharger les modèles) On met en évidence la production des anticorps grâce à la technique des plages de lyse
La production des anticorps anti-GRM se fait en présence de l'antigèneDeux situations initiales peuvent être modélisées:
La comparaison de ces deux situations modélisées permet de déduire que la production d'anticorps nécessite la présence d'un antigène.
La production des anticorps anti-GRM nécessite la présence de tous les acteurs de la réponse immunitaire (Phagocytes, Lymphocytes T et Lymphocytes B)Deux situations expérimentales peuvent être modéliser:
La comparaison de ces deux situations expérimentales avec le modèle témoin permet de déduire que les lymphocytes et les phagocytes sont indispensables à la production d'anticorps anti-GRM par la souris.
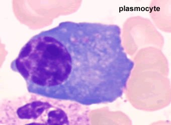
L'observation microscopique de différents leucocytes permet de déduire que ce sont les plasmocytes qui produisent les anticorps anti-GRML'observation des leucocytes producteurs d'anticorps permet de déterminer la nature des cellules productrices d'anticorps.
Les anticorps produits par les plasmocytes à la suite de l'injection de GRM sont spécifiques des GRMl'utilisation d'une lame recouverte de globules rouges de vache permet de mettre en évidence la spécificité des anticorps produits.
|
|



